The Gold Standard for Modern, Premium Dental Care
Miami Beach Smiles changes lives by providing beautiful, sparkling, and confident smiles in a cutting-edge office. Dr. Tommy Gaertner and our dental team leverage unrivaled advanced dentistry expertise with the latest technology to create and restore lasting, beautiful teeth, emphasizing proactive and preventative oral care – all in one convenient location! Our caring and compassionate team of dental experts understands how to care for each individual with a gentle touch and personalized treatment plans.


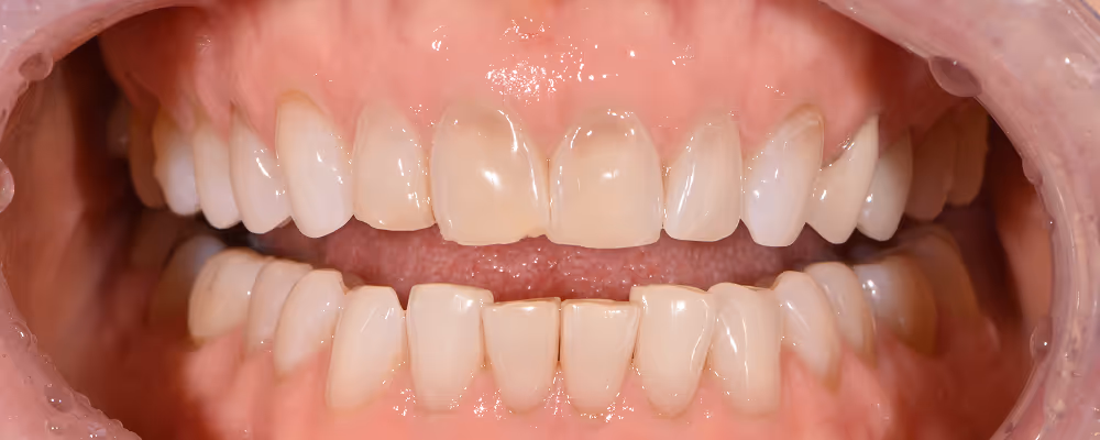
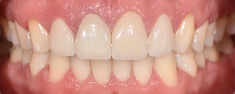
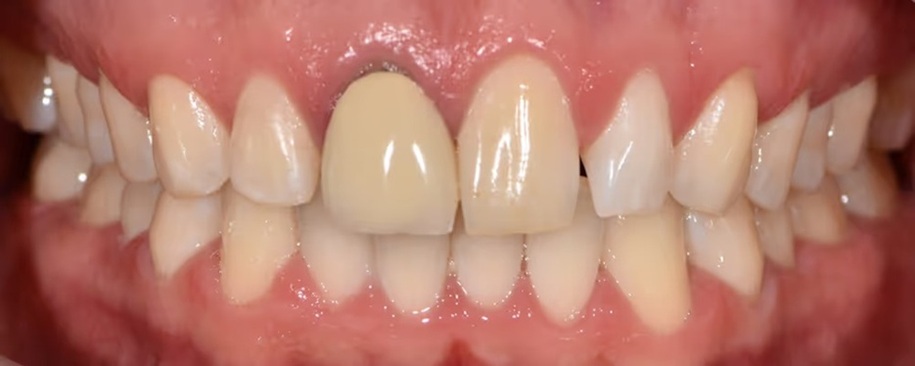
Our Smile Makeover Results
Led by Dr. Tommy Gaertner and Dr. Ilon Choai, our dental group treats every one of our patients like a family member. We’re dedicated to your complete satisfaction and elevating the quality of dental care beyond your expectations. Our team practices a compassionate and custom-tailored care approach to enhance not only your oral health and your smile but your self-esteem as well. We consider it a privilege to be able to create a lifelong relationship with you, working to ensure you receive treatments in a comfortable and relaxed environment.
Ready for a refreshing and convenient way to ensure your long-term oral health and gain a confident, radiant smile?

With his fresh perspective, valued experience, and background, Dr. Gaertner has the privilege of treating all patients in his Miami Beach office like family. He is passionate about dentistry, which is why he attends multiple continuing education courses and local study clubs to guarantee dental excellence to his patients.

Dr. Perez is a skilled dentist passionate about transforming lives by restoring confident smiles. A certified Invisalign provider, he also specializes in placing dental implants. He values treating patients like family and prioritizes continuous learning to provide top-quality care.

Dr. Berkowitz is an experienced periodontist with over 15 years of expertise in treating gum disease using advanced laser techniques. He also specializes in dental implants and gum grafting. Dr. Berkowitz combines expert skill with precision, experience, and up-to-date technology.

Dr. Pablo Acuña is a dedicated and passionate dentist with over 10 years of clinical experience in Europe and the United States. Originally from Spain, Dr. Acuña completed his dental training at European University of Madrid, followed by advanced postgraduate education.



Areas We Serve
- Surfside
- Bal Harbor
- Brickell
- Design District
- Edgewater
- Key Biscayne
- Miami Beach
- Miami
Miami Beach Smiles’ Location
Our dental office is conveniently located in the heart of Miami Beach, across the street from The Fillmore and only a block away from the Miami Beach Botanical Park. We offer comprehensive and cosmetic dental services for people and professionals of all ages and backgrounds.


























